Skip Menu
Continue
  • 35 Park Street,
  • Stoughton, MA 02072
  • Home
  • About Us
    • Our Office
    • New Patients
    • Smile Gallery
    • Dental Videos
    • Patient Reviews
    • In House Savings Plan
  • Our Doctor
  • Services
      • Crowns & Caps
      • Dental Bridges
      • Dental Fillings
      • Dentures
      • Oral Exams
      • Pediatric Dentistry
      • Preventive Program
      • Teeth Whitening
      • Veneers
    • View All
  • Dental Health
  • Contact
    • Contact Us
    • Request Appointment

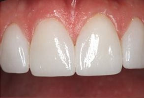
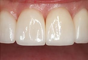
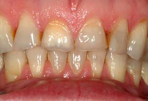
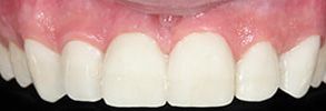
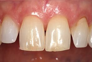
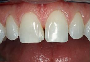
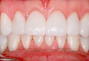
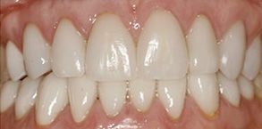
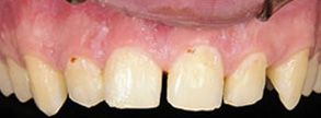
Smile Gallery

Additional Information

Our Location

35 Park Street
Stoughton, MA 02072

(781) 806-3035

Follow Us

We are Vaccinated